로그인
|
회원가입
031-293-2207
예약하기
연합치과의원
의료진 소개
연합의 특별함
진료 안내
공지사항
진료과목
일반진료
신경치료
보철치료
임플란트
심미치료
사랑니 발치
장비소개
디지털장비
치료전후
전후사진
자필후기
연합치과의원
의료진 소개
연합의 특별함
진료 안내
공지사항
진료과목
일반진료
신경치료
보철치료
임플란트
심미치료
사랑니 발치
장비소개
디지털장비
치료전후
전후사진
자필후기
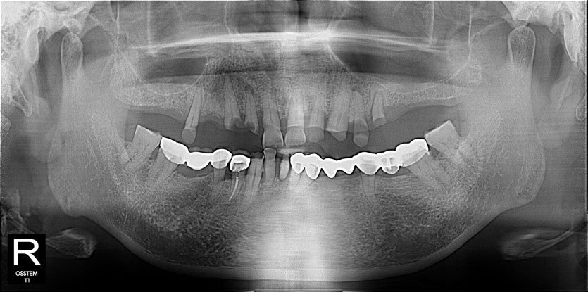
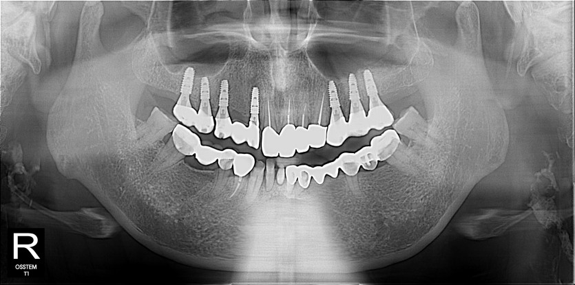
임플란트 사례
페이지 정보
작성자
관리자
댓글
0건
조회
92회
작성일
26-02-10 09:55
본문
prev
목록
next
댓글
0
댓글목록
등록된 댓글이 없습니다.
상담신청
상담창 닫기
진료과목 선택
임플란트
치아교정
심미보철
일반진료
개인정보 수집·이용 동의
상담신청